Bệnh ung thư miệng – Nguyên nhân bất ngờ
Bệnh ung thư miệng – Nguyên nhân bất ngờ, 45216, Nguyễn Thu Hương Blog MuaBanNhanh
Ung thư miệng là tổn thương dạng loét, chồi sùi hoặc cứng xảy ra ở bất kỳ bộ phận nào trong miệng như môi, lưỡi, má trong, sàn miệng, vòm miệng, các xoang miệng và họng. Ung thư miệng thường dẫn đến di căn hạch cổ.
Đánh giá sự nguy hiểm của ung thư miệng: Đây là loại ung thư phổ biến thứ 6 trên thế giới sau một số loại ung thư khác, xếp thứ 4 trong các ca ung thư ở nam và thứ 8 trong các ca ung thư ở nữ.
![]()
Ung thư miệng có nguy cơ rõ rệt đối với người ở độ tuổi sau 40, gặp nhiều nhất là ở độ tuổi 60 – 70.
Nguyên nhân hàng đầu gây ra căn bệnh này là thuốc lá và rượu. Những người có thói quen hút thuốc và uống rượu đứng trước nguy cơ ung thư miệng rất cao.
Bên cạnh đó, người có thói quen nhai trầu, xỉa thuốc cũng dễ bị ung thư miệng ở vị trí mặt trong má.
Tiếp xúc dài ngày với tia UV, ánh nắng mặt trời có thể gây ra ung thư môi – một dạng của ung thư miệng.
Một nguyên nhân không ngờ là vệ sinh răng miệng kém, dùng răng giả không đúng cách cũng có thể dẫn đến kích thích niêm mạc gây ung thư.
Ung thư miệng tuy nguy hiểm nhưng có thể chữa trị dứt hoàn toàn nếu được phát hiện trong giai đoạn đầu.
Tuy nhiên, nếu phát hiện trễ, khi tình trạng ung thư đã vào giai đoạn hai, bệnh nhân chỉ có thể kéo dài cuộc sống trong vòng 5 năm.
Bởi thế, việc đề phòng và phát hiện ra những triệu chứng, dấu hiệu của căn bệnh ung thư miệng là rất quan trọng nhằm đem lại cơ hội điều trị cho người mắc bệnh.
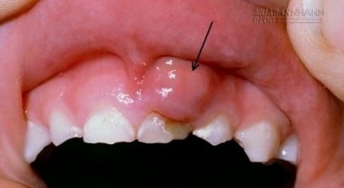
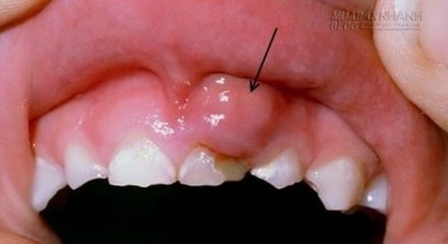
Những tổn thương trong khoang miệng có thể là dấu hiệu của bệnh ung thư miệng. (Ảnh minh họa: Internet)
1. Dấu hiệu, triệu chứng của căn bệnh ung thư miệng.
Nên đi khám ngay khi thấy cơ thể có những biểu hiện lạ sau:
– Cảm thấy khó nhai, khó nuốt, tăng tiết nước bọt.
– Loét miệng 2 tuần không lành.
– Miệng có tổn thương dạng xơ cứng, dạng chồi bông cải.
– Vết nhổ răng mãi không lành.
– Xuất hiện mảng trắng hoặc đen, đỏ trong khoang miệng.
– Răng lung lay không tìm ra nguyên nhân.
2. Cách phòng tránh căn bệnh ung thư miệng:
– Giữ vệ sinh răng miệng:Tình trạng răng miệng kém vệ sinh có thể dẫn đến giảm khả năng miễn dịch của cơ thể trong việc chống lại các tế bào ung thư. Bởi vậy việc giữ gìn vệ sinh răng miệng là rất quan trọng để phòng tránh bệnh ung thư miệng.
– Không hút thuốc lá: Thuốc lá là tác nhân của hầu hết trường hợp ung thư miệng. Từ bỏ thuốc lá là bạn đã loại bỏ được nguyên nhân rất lớn gây ra căn bệnh này.
– Hạn chế uống rượu: Nếu bạn uống nhiều rượu, nguy cơ ung thư miệng tăng gấp 6 lần. Để phòng tránh ung thư miệng nên bỏ rượu hoặc uống tối đa 1 ly rượu/ngày.
– Tránh tiếp xúc lâu với ánh nắng mặt trời: Luôn dùng kem chống nắng, vật bảo vệ môi và vùng da mặt bất cứ lúc nào ra ngoài trời nắng gắt.
– Kiểm tra sức khỏe răng miệng định kỳ ít nhất 2 lần/năm.
– Tập thể dục và chơi thể thao: Hoạt động thể dục thể thao giúp cho cơ thể tăng sức miễn dịch, bảo vệ cơ thể trước nguy cơ bệnh tật.
Theo Soha
Nguyễn Thu Hương Chưa xác định sản phẩm bán chạy, tiêu điểm.