Hàm răng tiết lộ nhiều điều về sức khỏe của bạn
Hàm răng tiết lộ nhiều điều về sức khỏe của bạn, 69937, Nguyễn Thu Hương Blog MuaBanNhanh
Khi nghi ngờ mắc một bệnh nào đấy, việc đầu tiên chúng ta thường làm là vội đi xét nghiệm máu, nước tiểu, phân… mà quên kiểm tra những biểu hiện trong răng miệng.
Nhiều nghiên cứu phát hiện những gì diễn ra ở miệng có thể trực tiếp phản ánh những gì đang xảy ra ở những bộ phận khác trong cơ thể.
Các bệnh về răng miệng có liên quan với những căn bệnh viêm nhiễm mãn tính khác như tiểu đường, bệnh tim mạch và Alzheimer. Hãy cùng tìm hiểu những triệu chứng bất ổn về sức khỏe thông qua một số dấu hiệu xuất hiện ở răng miệng.
![]()
Bệnh loãng xương ảnh hưởng đến hệ thống xương trong cơ thể, bao gồm cả xương hàm và có thể làm bạn bị rụng răng.
Quá trình ăn mòn ở xương hàm dẫn tới tình trạng răng bị rụng, làm khuôn mặt bị biến dạng nhẹ, gây ra các cơn đau ở trong và quanh khớp hàm – có vai trò kết nối giữa hàm trên và hàm dưới.
Không những thế, những người trưởng thành đã bị rụng hết răng sẽ có nguy cơ bị bệnh thận mãn tính cao hơn so với những người vẫn còn đầy đủ cả hàm răng. Vì vậy, hãy chăm sóc răng miệng thật kỹ để hạn chế nguy cơ bị bệnh thận mãn tính.
Nướu nhạt màu: Bệnh thiếu máu
![]()
Nướu răng có thể đau và nhạt màu nếu như bạn đang bị thiếu máu. Khi đó, lưỡi cũng sẽ sưng lên và nhẵn hơn.
Khi bạn rơi vào tình trạng thiếu máu, cơ thể không có đủ các tế bào máu đỏ hoặc các tế bào máu đỏ không chứa đủ các huyết sắc tố. Kết quả là cơ thể không được cung cấp đủ lượng oxy cần thiết cho mọi hoạt động.
Có rất nhiều loại bệnh thiếu máu khác nhau và việc điều trị cũng theo đó mà khác nhau. Vì thế, hãy đi khám bác sĩ để được tư vấn điều trị.
Mòn men răng: Rối loạn tiêu hóa
![]()
Thật khó tin khi một nha sĩ có thể phát hiện ra vấn đề rối loạn tiêu hóa của bệnh nhân. Lượng axit trong dạ dày gây nên việc nôn mửa kéo dài sẽ ăn mòn men răng nghiêm trọng, đặc biệt là các răng ở hàm phía trên – vốn không được lưỡi che chắn như hàm dưới.
Quá trình ăn mòn men răng thường diễn ra âm thầm và có thể kéo dài tới 3 năm trước khi bệnh nhân phát hiện ra được vấn đề này.
Biếng ăn, ăn uống không kiềm chế hay rối loạn ăn uống cũng có thể dẫn đến sự thiếu hụt dinh dưỡng nghiêm trọng, ảnh hưởng đến sức khỏe răng miệng.
Nấm miệng: Bệnh tiểu đường hoặc nhiễm HIV
![]()
Những người có HIV/AIDS rất dễ mắc bệnh nấm miệng, mụn cóc trong miệng, mụn bọc nước hoặc những bệnh có liên quan đến việc nhiễm nấm Candida vì do hệ thống miễn dịch của cơ thể đã bị suy yếu.
Biểu hiện đặc trưng của bệnh nấm miệng là những vết màu trắng thường xuất hiện trên lưỡi hoặc bên trong má.
Người bị HIV/ AIDS có thể còn gặp thêm một số triệu chứng như khô miệng, làm tăng nguy cơ bị sâu răng, khiến cho quá trình nhai, ăn, nuốt thức ăn hoặc nói trở nên khó khăn hơn.
Bệnh tiểu đường không kiểm soát được có thể làm giảm lưu lượng nước bọt, gây khô miệng. Khô miệng dễ dẫn đến nóng rát miệng, viêm loét, nhiễm trùng và sâu răng.
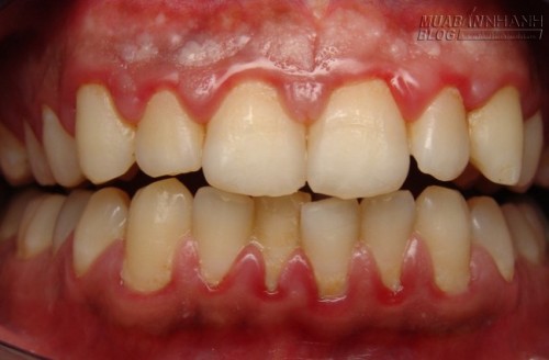
Nướu sưng: Viêm khớp dạng thấp
![]()
Số liệu thống kê cho thấy người bị viêm khớp dạng thấp có nguy cơ mắc bệnh về nướu cao hơn 8 lần so với người không mắc bệnh.
Tồi tệ hơn, những người bị viêm khớp có thể gặp khó khăn khi đánh răng và sử dụng chỉ nha khoa vì các vấn đề ở khớp ngón tay. Tuy nhiên, việc điều trị bệnh nhiễm trùng ở nướu có thể làm giảm các cơn đau và viêm nhiễm ở khớp.
Theo Trí thức trẻ
Nguyễn Thu Hương Chưa xác định sản phẩm bán chạy, tiêu điểm.