Tin nhanh:
Cộng đồng, Blog MuaBanNhanh, chuyên trang Cộng đồng, Trang 40


Giỗ Tổ mùng 10 tháng 3 là giỗ của vị vua nào trong 18 đời Hùng Vương?

Nổi bật Giỗ Tổ mùng 10 tháng 3 là giỗ của vị vua nào trong 18 đời Hùng Vương?

Chúng ta hãy thử lội ngược dòng lịch sử để tìm hiểu kĩ hơn về sự kiện trọng đại này nhé!
Trung Quốc: Các sinh viên phải vượt qua kỳ thi uống rượu mới được tốt nghiệp

Trung Quốc: Các sinh viên phải vượt qua kỳ thi uống rượu mới được tốt nghiệp

Uống rượu là một trong số các bài thi của các sinh viên trước khi tốt nghiệp tại trường trung cấp kỹ thuật nghề Anshun ở Quý Châu, Trung Quốc.
Bức ảnh này có thể tiết lộ mức độ Stress của bạn

Bức ảnh này có thể tiết lộ mức độ Stress của bạn

Nhìn vào một bức ảnh, biết mình đang gặp stress ở mức độ nào
Vì sao sữa tươi Vinamilk đựng trong hộp chữ nhật, còn Coca lại chứa trong lon trụ tròn?

Vì sao sữa tươi Vinamilk đựng trong hộp chữ nhật, còn Coca lại chứa trong lon trụ tròn?

Hầu như mọi loại nước giải khát không cồn, như Pepsi hay Coca Cola đều được đựng trong lon hình trụ, dù chúng làm bằng nhôm hay thủy tinh. Trong khi đó, các loại sữa như TH Milk, Vinamilk lại được đựng trong hộp bằng bìa cứng hoặc nhựa hình chữ nhật.
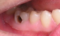
99% những người có răng khôn như thế này sẽ để lại hậu quả đáng sợ!

99% những người có răng khôn như thế này sẽ để lại hậu quả đáng sợ!

Gọi là răng khôn nhưng thực chất những phiền toái mà 4 chiếc răng này mang lại cho con người không hề ít, ngược lại nó lại chính là thủ phạm khiến bạn đau ê ẩm, khiến những người xung quanh không muốn ngồi gần bạn.
Công thức tính tiền xây nhà đúng 90%, cùng tính để tiết kiệm cất nhà là vừa

Nổi bật Công thức tính tiền xây nhà đúng 90%, cùng tính để tiết kiệm cất nhà là vừa

Mình thấy có không ít các bạn vẫn đang lấn cấn về chuyện xây nhà bao nhiêu tiền mới đủ. Thật ra công thức tính cũng khá đơn giản và chính xác khoảng 90%, mình đã tham khảo từ các công ty xây dựng để đưa ra cách tình
Chú cò bay 13.000km mỗi năm về thăm bạn đời

Chú cò bay 13.000km mỗi năm về thăm bạn đời

Hình ảnh một chú cò suốt 15 năm qua không quản khó khăn bay suốt 13.000km mỗi năm về thăm bạn đời bị thương đã khiến cộng đồng mạng không cầm được nước mắt.
Nhật Bản đòi lập khu vực riêng cho những du khách phá hoại

Nhật Bản đòi lập khu vực riêng cho những du khách phá hoại

Người Nhật đang kêu gọi bảo vệ những cây hoa anh đào của nước họ trước sự phá hoại của các du khách vô ý thức đến từ Trung Quốc.
Bao nhiêu người có đủ dũng cảm đua theo trào lưu siêu dị này của nữ sinh Nhật Bản

Bao nhiêu người có đủ dũng cảm đua theo trào lưu siêu dị này của nữ sinh Nhật Bản

Trào lưu nữ sinh dũng cảm cạo nửa đầu, khẩu trang an toàn êm ái, thấm hút tuyệt đối, nghe nhạc to cũng là một điều tốt cho sức khỏe... là một số hình ảnh nhận được sự quan tâm của cư dân mạng trong ngày qua.
Cá mú nghệ khủng vẫy vùng tại Sài Gòn

Cá mú nghệ khủng vẫy vùng tại Sài Gòn

Con thủy quái này vẫy vùng trong bể chứa, thậm chí suýt cắn đứt tay một nhân viên tại đây. Việc một con cá khổng lồ được đưa về Sài Gòn và còn sống được xem là khá hiếm từ trước đến nay.
Giật mình với siêu nhà nghỉ đầy đủ tiện nghi giá bèo 15.000 đ / ngày giữa lòng Thủ đô

Giật mình với siêu nhà nghỉ đầy đủ tiện nghi giá bèo 15.000 đ / ngày giữa lòng Thủ đô

Chỉ với 15.000 đồng/người, bệnh nhân, gia đình bệnh nhân có thể ở một ngày một đêm trong phòng trọ đầy đủ tiện nghi ngay trung tâm Thủ đô.
Nắng nóng 49,5 độ C ở Ấn Độ, 135 người chết

Nắng nóng 49,5 độ C ở Ấn Độ, 135 người chết

Báo cáo mới nhất từ giới chức Ấn Độ ngày 13/4 cho biết 24 người thiệt mạng do nắng nóng ở bang Orissa, đưa tổng số người chết vì nắng trong tuần này trên cả nước lên 135 người.
Nữ sinh tuổi 17 nhận mưa học bổng từ 12 trường ĐH tốt nhất thế giới

Nữ sinh tuổi 17 nhận mưa học bổng từ 12 trường ĐH tốt nhất thế giới

Võ Tường An (17 tuổi) vừa xuất sắc chinh phục hơn 10 trường ĐH hàng đầu thế giới, trong đó có 4 cái tên đình đám góp mặt ở nhóm trường Ivy league là ĐH Harvard, Yale, Cornell, Dartmouth và ĐH Stanford (nơi có tỷ lệ trúng tuyển thấp hơn so với bất kỳ
Chết cười với loạt tin nhắn và những cái kết bất ngờ

Nổi bật Chết cười với loạt tin nhắn và những cái kết bất ngờ

Người ta có thể ăn nửa buổi, ngủ nửa giấc nhưng không thể yêu bằng nửa trái tim và đi nửa đường chân lý. Câu này xưa rồi các chế ạ, phải bổ sung: … nhưng không thể đọc một nửa tin nhắn thì mới đủ ý.
Nóng: Cô gái hạ mình quỳ xin khóc lóc trước mặt chàng trai trên phố

Nóng: Cô gái hạ mình quỳ xin khóc lóc trước mặt chàng trai trên phố

Trước đó đã có không ít cô gái chàng trai vì tình yêu, vì trót phản bội nửa kia mà quỳ khóc xin tha thứ. Có người còn quỳ suốt cả ngày, bỏ ăn uống, thậm chí dọa tuyệt thực để nửa kia lay động.

Tin nổi bật

6 nguyên tắc thuyết phục để có phễu bán hàng hiệu quả
6 nguyên tắc thuyết phục để có phễu bán hàng hiệu quả
Máy may 1 kim điện tử Juki DDL-900C chính hãng từ Thế Giới Máy May Công Nghiệp
Máy may 1 kim điện tử Juki DDL-900C chính hãng từ Thế Giới Máy May Công Nghiệp
Trang trại heo rừng lợn rừng giống từ nhà Ông Am Lâm Đồng
Trang trại heo rừng lợn rừng giống từ nhà Ông Am Lâm Đồng
Mua khăn trải bàn ở đâu tại TPHCM giá tốt, mẫu khăn trải bàn đẹp, chất lượng
Mua khăn trải bàn ở đâu tại TPHCM giá tốt, mẫu khăn trải bàn đẹp, chất lượng
Mách bạn cách chọn vải may rèm cửa cực chuẩn
Mách bạn cách chọn vải may rèm cửa cực chuẩn
Danh Sách Công Ty Sản Xuất Khẩu Trang Tại Việt Nam
Danh Sách Công Ty Sản Xuất Khẩu Trang Tại Việt Nam
>> Quảng cáo miễn phí