99% những người có răng khôn như thế này sẽ để lại hậu quả đáng sợ!
99% những người có răng khôn như thế này sẽ để lại hậu quả đáng sợ!, 69398, Nguyễn Thu Hương Blog MuaBanNhanh
Ở tuổi gần trưởng thành (từ 17- 25 tuổi) con người sẽ phải trải qua những cơn đau ê ẩm nơi cuối hàm trong cùng vì sự xuất hiện của 4 em răng khôn. Chính vì sự có mặt này nên 28 chiếc răng còn lại trong hàm của chúng ta sẽ bị tranh giành vị trí, lãnh thổ khiến 4 chiếc răng kia sẽ tìm đủ mọi cách để có thể ngoi lên được trên hàm.
Sử dụng mọi thủ đoạn để được “tỏa sáng”, thậm chí là giành giật đất sống như mọc ngược về phía xương hoặc đâm thẳng về phía chiếc răng hàm đứng kế bên, làm hại khổ chủ bằng những cơn đau ê ẩm sống không bằng chết… Chưa kể, nó còn tạo phản bằng cách khủng khiếp hơn khi để lại mùi ngất ngây cho chủ nhân mỗi khi mở miệng.
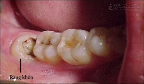
Răng khôn nhiều khi gây ra rất nhiều phiền toái cho con người
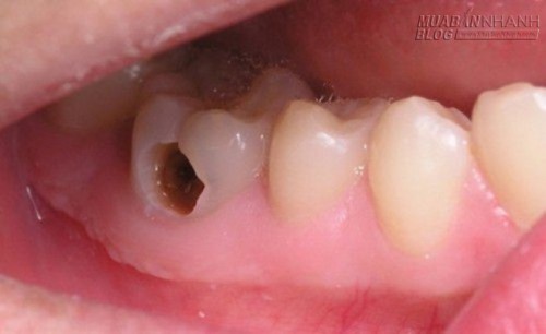
Do răng khôn ở trong cùng của hàm răng, khó vệ sinh công thêm việc nó mọc không đúng trật tự khiến thức ăn rơi xuống nướu, lâu ngày vi khuẩn tấn công tạo ra mùi hôi cho răng miệng. Sự tích tụ lâu ngày gây sâu răng hoặc viêm nhiễm vùng lợi xung quanh dẫn đến sưng, đau, hôi miệng… Bệnh viêm lợi sẽ tái phát nhiều lần nếu răng khôn không được chữa trị, những lần tái phát sau mức độ nguy hiểm càng cao.
Áp lực mọc răng khôn có thể gây ra tiêu ngót chân răng của răng bên cạnh. Răng khôn có thể thoái hóa thành u, nang bệnh lý trong xương hàm, làm yếu xương hàm.
Một số trường hợp khi những bất thường của răng khôn không được chữa trị kịp thời, gây nhiễm trùng lây lan sang các khu vực xung quanh như mang tai, má, mắt, cổ… Đặc biệt là ảnh hưởng tới hệ thần kinh gây hậu quả nghiêm trong thậm chí là gây nguy hiểm đến tính mạng.
Chỉ cần thấy đau đau, hơi thở bỗng nhiên thoảng như “hương đêm bay xa”, thì đó chính là lúc báo hiệu cho bạn rằng răng khôn đang muốn “tạo phản”, cần phải diệt tận gốc càng sớm càng tốt.
Tuy nhiên, không phải răng khôn nào cũng nghịch ngợm như vậy, nhiều người may mắn của những chiếc răng khôn biết điều, mọc bình thường ngay hàng thẳng lối, không đau ê ẩm thì nên để nó lại. Dù vậy cũng nên dùng chỉ tơ nha khoa và bàn chải để làm sạch hang cùng ngõ hẻm của hàm răng, tránh trường hợp sâu răng và mất vệ sinh răng miệng.
Theo Một Thế Giới
Nguyễn Thu Hương Chưa xác định sản phẩm bán chạy, tiêu điểm.