Ai đang bị chân vòng kiềng nhất định phải đọc bài viết này
Ai đang bị chân vòng kiềng nhất định phải đọc bài viết này, 67117, Nguyễn Thu Hương Blog MuaBanNhanh
Nguyên nhân gây chân cong
– Trẻ sơ sinh có đôi chân vòng kiềng là do tư thế gấp người của trẻ trong bào thai. Khi trẻ bắt đầu tập đi, đôi chân sẽ tự động điều chỉnh tư thế lại cho đúng.
– Trẻ em lớn lên nhưng chân vẫn bị vòng kiềng là do xương phát triển bất thường. Nguyên nhân có thể do bệnh tật, bị ngộ độc hoặc thiếu dưỡng chất. Chẳng hạn, bệnh Blount (rối loạn xương ống chân) có thể xảy ra ở trẻ nhỏ hoặc thanh thiếu niên. Phần bên trong của xương ống chân (ngay phía dưới đầu gối) không phát triển bình thường, khiến chân khuỳnh ra.
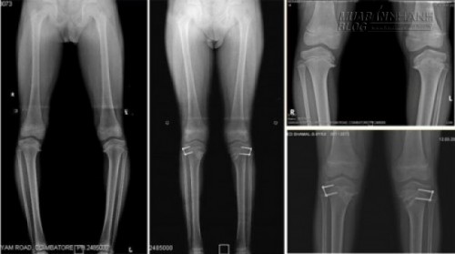
![]()
Hình ảnh X-quang bệnh nhân bị rối loạn xương ống chân.
– Trẻ có thể bị còi xương, do không nạp đủ hoặc khó chuyển hóa vitamin D.Xương gãy mà không lành trở lại bình thường, ngộ độc chì hoặc fluoride cũng có thể gây ra chân vòng kiềng.
Triệu chứng
Chân vòng kiềng dễ quan sát nhất qua dáng đứng hoặc đi. Một người cũng thấy rõ mình khó khăn trong di chuyển mặc dù vẫn có thể đi đứng bình thường và theo kịp mọi người. Trẻ em chân vòng kiềng không hề cảm thấy đau, nhưng thanh thiếu niên có thể thấy đau ở các khớp xương mắt cá, đầu gối, hông vì những vị trí này bị một áp lực bất thường đè lên.
Nếu tình trạng xương vòng kiềng không được ngăn ngừa hay điều trị từ sớm, bệnh nhân sau này sẽ thường xuyên cảm thấy đau nhức, viêm khớp mắt cá, gối và hông.
Ngăn ngừa
Trước tiên phải làm kiểm tra để chẩn đoán nguyên nhân gây chân vòng kiềng. Xét nghiệm máu có thể xác định được bệnh nhân có bị còi xương, ngộ độc chì hoặc fluoride hay không. Đôi khi, phải chụp X-quang để xác định mức độ nghiêm trọng của bệnh và chẩn đoán nếu có mắc bệnh Blount.
![]()
Chữa chân vòng kiềng bằng phương pháp niềng trong 4 tháng.
Đối với trẻ nhỏ, phải đảm bảo trẻ hấp thụ đủ vitamin D và được tiếp xúc với ánh sáng mặt trời.
Bệnh Blount có thể được điều trị nhưng không thể ngăn ngừa. Các phương pháp như đi giày, mang niềng… hiệu quả ở trẻ nhỏ, nhưng một số trường hợp nặng thì phải phẫu thuật. Đây có thể là lựa chọn cuối cùng, nhưng tốt nhất nên phát hiện bệnh sớm và điều trị khi còn nhỏ, để lâu sẽ rất khó khăn.
Theo Thế giới trẻ
Nguyễn Thu Hương Chưa xác định sản phẩm bán chạy, tiêu điểm.