Tiêu diệt ngay vi khuẩn gây sâu răng bằng mẹo dân gian
Tiêu diệt ngay vi khuẩn gây sâu răng bằng mẹo dân gian, 70352, Nguyễn Thu Hương Blog MuaBanNhanh
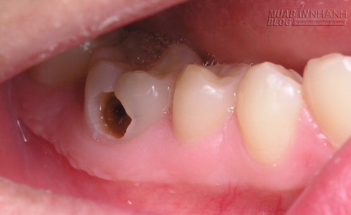
Bệnh sâu răng là quá trình vi khuẩn tiếp xúc, tấn công cấu trúc răng, gây nên những tổn thương trên bề mặt răng.
Biểu hiện đầu tiên là chúng gây ra những lỗ sâu li ti trên bề mặt răng hay quanh thân răng, điều này khiến người bệnh đau nhức khó chịu. Nếu chúng ta không phát hiện và điều trị kịp thời thì vi khuẩn sâu răng sẽ “ăn” dần vào sâu cấu trúc răng, phá hủy lớp ngà và tủy răng bên trong, gây hoại tử tủy. Thậm chí ở một số trường hợp nặng, bệnh nhân buộc phải nhổ bỏ những chiếc răng sâu này.
| Bệnh sâu răng gây ra rất nhiều đau đớn. |
Triệu chứng bệnh sâu răng
Triệu chứng bệnh sâu răng được chia ra làm 3 giai đoạn: sâu men S1, sâu ngà nông S2, sâu ngà sâu S3, trong đó mỗi giai đoạn lại có các triệu chứng khác nhau, cụ thể:
Sâu men(kí hiệu S1):
Giai đoạn này mới chớm sâu răng, nên hầu như không có cảm giác đau răng ê buốt răng khi bị ăn nóng lạnh, chua ngọt.
Trên bề mặt răng có điểm đổi màu men răng (trắng đục như nước vo gạo hoặc vàng nâu).
Sâu ngà nông(kí hiệu là S2):
Khi bị kích thích nóng lạnh chua ngọt thì cảm thấy ê buốt ở răng sâu, nhưng khi dừng kích thích này thì hết ê buốt ngay.
Tại lỗ răng sâu có ngà mủn, màu vàng hoặc nâu đen, độ sâu của lỗ sâu < 2mm.
Sâu ngà sâu(kí hiệu là S3):
Cảm thấy ê buốt khó chịu khi bị kích thích ăn nóng lạnh, chua ngọt, ê buốt kéo dài sau khi ngừng kích thích khoảng 30 giây – 1 phút.
Lỗ sâu sâu từ 2-4 mm, nạo lỗ sâu thấy ê buốt và có nhiều ngà mủn.
Các bài thuốc chữa sâu răng từ dân gian
Bạn có thể áp dụng 1 trong các bài thuốc dân gian sau để điều trị bệnh sâu răng. Đây là những bài thuốc lành tính, hiệu quả cao, lại dễ áp dụng tại nhà, tiết kiệm về chi phí hợp lý nhất mà bạn nên sử dụng.
Chữa sâu răng bằng gừng
Nguyên liệu:
100g gừng để cả vỏ.
Cách làm:
Rửa sạch gừng, giã nát rồi đắp lên chỗ bị sâu răng.
Liều dùng:
Ngày đắp 1 lần vào lúc tối trước khi đi ngủ là tốt nhất. Để qua đêm. Dùng khoảng 7-10 ngày sẽ khỏi.
Tinh dầu ôliu trộn lẫn với dầu đinh hương
Tinh dầu ôliu và đinh hương đều là những chất có tác dụng sát trùng, giảm đau, kháng viêm rất hữu hiệu. Khi trộn lẫn hai loại dầu lại với nhau, khả năng giảm đau răng của hỗn hợp càng được phát huy tác dụng. Bôi trực tiếp hỗn hợp lên vùng răng, nướu bị sưng, làm đều đặn 3,4 lần mỗi ngày cho đến khi hết đau răng.
Theo: Khỏe & Đẹp
Nguyễn Thu Hương Chưa xác định sản phẩm bán chạy, tiêu điểm.