Phát hoảng với những kí sinh trùng hút máu ở rất gần bạn
Phát hoảng với những kí sinh trùng hút máu ở rất gần bạn, 63311, Nguyễn Thu Hương Blog MuaBanNhanh
Khi nói đến kí sinh trùng, mọi người đều hình dung ra những sinh vật nhỏ thường sống kí sinh trên cơ thể vật chủ nhằm hút chất dinh dưỡng, hút máu. Nhưng thật ra vẫn còn có những kí sinh trùng sống bên ngoài vật chủ. Điểm giống nhau của chúng là đều nguy hiểm, một số loài còn có thể gây tử vong cho con người. Dưới đây là những kí sinh trùng hút máu nguy hiểm nhất trên thế giới:
Muỗi
![]()
Đây luôn là loài vật hút máu người nhiều nhất trên thế giới. Việc muỗi đốt không gây ra nguy hiểm, nhưng những căn bệnh mà nó mang theo và lây truyền khi đốt người thực sự là thảm hoạ. Ảnh: Internet
![]()
Mỗi năm đều có hàng nghìn người chết vì bệnh sốt xuất huyết và nguyên nhân là do muỗi vằn đốt. Để phòng chống muỗi đốt, mọi người có thể dùng vợt muỗi, đèn bắt muỗi, chai xịt côn trùng hay đốt nhang muỗi... Hoặc có thể dùng các cây cỏ, thảo dược xung quanh nhà như cây ngũ sắc, húng lủi (bạc hà), vỏ cam, quýt, sả, cúc vạn thọ... để phòng chống muỗi. Ảnh: Internet
Rệp giường
![]()
Rệp có kích thước rất nhỏ bé, chúng đã xuất hiện từ hàng nghìn năm trước. Rệp không gây chết người nhưng chúng tồn tại bằng cách hút máu người. Chúng thường ẩn mình trong tối và ra hút máu khi đêm xuống. Hiện nay chúng có xu hướng phát triển mạnh về số lượng. Ảnh: Internet
![]()
Nếu bị rệp hút máu, mọi người có thể xử lí vết thương bằng cách dùng các loại thuốc mỡ có kháng sinh bôi vào vết thương. Cách phòng chống rệp có hiệu quả nhất là ngâm quần áo, chăn màn… trong nước sôi có pha xà phòng ở nhiệt độ từ 45-50 độ C. Đun sôi nước, pha xà phòng rồi tưới lên các khe giường, tủ ngày 2 lần và làm liên tục trong vài ngày. Hoặc dùng lá sen tươi để dưới giường ngủ hay đáy tủ có rệp bởi loài này rất sợ mùi lá sen. Ảnh: Internet
![]()
Có thể, dùng lá thuốc lào tươi, thái nhỏ và rắc vào các khe giường tủ hay nơi rệp ẩn náu. Hun rệp giường bằng hơi nóng của nước bằng cách dùng bình phun hơi nóng, xả liên tục vào vị trí rệp làm tổ khoảng 1 giờ đồng hồ. Dùng các loại thuốc diệt mối, muỗi để phun. Ảnh: Internet
Chấy hay còn gọi là chí
![]()
Chấy (người miền Nam gọi là chí) là loại kí sinh trùng hút máu không gây chết người. Loại này thường chỉ tấn công vào một phận duy nhất của con người là đầu tóc. Đối tượng thường nhiễm chấy là ở các em còn đi học. Ảnh: Internet
![]()
Chấy thường gây ra ngứa ngáy, khó chịu cho con người. Có thể gội đầu với giấm, giọt dầu cây chè, thầu dầu hay nước chanh tươi, nước súc miệng để tiêu diệt chấy và trứng chấy. Ảnh: Internet
Ve
![]()
Ve là loài sống kí sinh trên cơ thể con người hay động vật có lông. Ve có thể hút một lượng máu nhiều gấp 600 lần trọng lượng cơ thể, gây ra sốt phát ban Rocky Mountain hoặc bệnh nhiễm trùng Lyme. Ảnh: Internet
Dracunculus Medinensis - Giun Guinea, kí sinh trùng ở da người
![]()
Đây là loại kí sinh trùng ở da người và động vật, chúng tấn công người và động vật ở khắp nơi trên thế giới. Ảnh: Internet
![]()
Giun Guinea xâm nhập cơ thể con người chủ yếu qua đường nước uống mang ấu trùng của giun. Do vậy cần phải giữ nguồn nước luôn sạch sẽ, khi uống cần đun sôi nước để loại bỏ ấu trùng giun. Ảnh: Internet
Giun chỉ
![]()
Loại kí sinh trùng gây ra nỗi khiếp sợ cho con người là giun chỉ. Ấu trùng giun chỉ xâm nhập vào cơ thể qua vết cắn của muỗi bị nhiễm kí sinh trùng. Ảnh: Internet
![]()
Người bị giun chỉ tấn công sẽ bị phù nề hệ thống hạch bạch huyết, dẫn đến một số vùng của cơ thể như chân, tay, bộ phận sinh dục bị sưng to quá mức. Khi bị nhiễm giun, cần phải đến bác sĩ để điều trị một cách hợp lí. Ngoài ra, con người cần xổ giun định kì hàng năm để tránh trường hợp giun, sán kí sinh trong cơ thể. Ảnh: Internet
Bọ chét
![]()
Bọ chét kí sinh trên cơ thể người và động vật. Loại kí sinh trùng này đốt gây ngứa rát và ảnh hưởng sức khỏe. Có thể dùng các loại muối, giấm táo, nước chanh, cây hương thảo để tiêu diệt loại kí sinh trùng nguy hiểm này. Ảnh: Internet
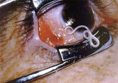
"Giun mắt"
![]()
Là loại giun sống và kí sinh trong mắt người. Loại giun này xâm nhập vào cơ thể người thông qua vết chích của một con ruồi thuộc chi Chrysops, vốn thường hút máu và lây bệnh truyền nhiễm. Sau đó, loại kí sinh trùng này sẽ ẩn nấp dưới da người và hút máu để tồn tại trong nhiều năm, cho đến một ngày vật chủ nhìn vào gương và phát hiện một con giun nhỏ xíu đang ngọ nguậy ngay phía dưới bề mặt nhãn cầu của mình. Các triệu chứng mắc phải loại giun này có thể là ngứa ngáy, đau khớp tới mệt mỏi, cuối cùng thậm chí có thể dẫn đến tử vong. Ảnh: Internet
Theo Thế giới trẻ
Nguyễn Thu Hương Chưa xác định sản phẩm bán chạy, tiêu điểm.