.

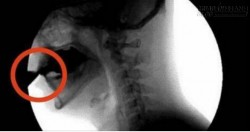
Chất độc này hủy hoại xương của chúng ta, nhưng ai cũng vô tư dùng
Thật sự, dù loại nước mát lạnh này có thể thỏa mãn nhiều người, nhưng bạn có biết mình đang uống những gì, ngoài khí ga tạo bọt trong nước - thứ làm tăng tiết dịch vị, tăng nồng độ axit trong dịch dạ dày và sinh nhiều khí thừa trong đường ruột...