Loại bỏ mảng bám và ố vàng trên răng chỉ bằng dầu dừa
Loại bỏ mảng bám và ố vàng trên răng chỉ bằng dầu dừa, 68285, Lavender Blog MuaBanNhanh
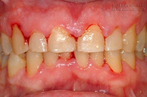
Các mảng bám, ố vàng trên răng lâu ngày sẽ gây nên các bệnh về viêm lợi với các biểu hiện như mùi hôi miệng, chảy máu chân răng. Không chỉ có vậy, hàm răng của bạn cũng sẽ bị viêm nha chu và dẫn đến tiêu xương, dẫn đến tình trạng răng ê buốt và nặng hơn nữa là sâu răng, viêm tủy.
![]()
Chính vì vậy bạn phải loại bỏ các mảng bám ố vàng ngay lập tức. Dầu dừa là một nguyên liệu tự nhiên sẽ giúp bạn giải quyết vấn đề đó.
Cách làm:
![]()
- Đánh răng sạch sẽ.
- Súc miệng bằng 1 thìa dầu dừa.
- Ngậm khoảng 20-15 phút thì nhổ ra.
- Đánh răng lại với bàn chải không kem đánh răng.
Thực hiện mỗi lần 1 ngày, sau 10 ngày bạn sẽ thấy hiệu quả rõ rệt.
Công dụng:
- Dầu dừa giúp bạn loại bỏ hết các vi khuẩn gây mùi và các mảng bám trên răng.
- Ngoài ra, dầu dừa còn giúp răng trắng sáng hơn.
Lưu ý:
Ngoài việc sử dụng dầu dừa để loại bỏ các mảng ố vàng, bạn cần lưu ý một số việc sau để phòng ngừa cao răng, mảng bám hình thành.
- Đánh răng đúng cách, làm sạch tất cả các mặt răng, kẽ răng và phần cổ răng tiếp xúc với lợi.
- Đánh răng ít nhất 2 lần mỗi ngày vào buổi sáng và tối, nên dùng kem đánh răng có fluoride và nước súc miệng.
- Sử dụng chỉ nha khoa để loại bỏ các mảng bám ở kẽ răng.
- Với những người đeo răng giả hoặc bị lộ chân răng nên dùng bàn chải đặc biệt để kích thích lợi và loại bỏ mảng bám răng dễ hơn.
- Thường xuyên đi khám răng để phát hiện sớm các tổn thương về răng miệng.
![]()
Theo Nguyễn Luyến / Một Thế Giới
Lavender Chưa xác định sản phẩm bán chạy, tiêu điểm.