Làm hỗn hợp mật ong ngâm với thứ này, mụn hay vết thâm chi chít đều một đi không trở lại chỉ sau 1 tuần
Làm hỗn hợp mật ong ngâm với thứ này, mụn hay vết thâm chi chít đều một đi không trở lại chỉ sau 1 tuần, 74299, Lavender Blog MuaBanNhanh
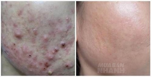
Mụn và vết thâm luôn đi cùng với nhau như mối quan hệ “nguyên nhân – kết quả”. Khi việc làm sạch da sau khi trang điểm, đi bụi không được chú trọng thì mụn nổi lên là điều rất dễ xảy ra.
Cho dù bạn có nặn mụn hay không thì vết thâm vẫn sẽ hình thành. Hãy thực hiện cách làm đơn giản dưới đây.
![]()
Mật ong có đặc tính kháng khuẩn, chống viêm cao đồng thời dưỡng ẩm siêu tốt, không chỉ loại bỏ được những tác nhân gây mụn mà còn hỗ trợ làm mềm da, tránh để lại vết thâm hiệu quả.
![]()
Tỏi cũng có khả năng chống lại vi khuẩn, giúp trị mụn nhanh chóng, hạn chế sự quay trở lại của chúng, làm giảm mọi vết thâm thậm chí cả sẹo một cách xuất sắc, tăng cường tái tạo tế bào mới.
- Cách thực hiện:
+ Bạn chuẩn bị khoảng 1 – 2 lạng tỏi, vì bảo quản được rất lâu với các công dụng khác nữa nên bạn có thể làm nhiều hơn tùy theo ý muốn. Đem bóc vỏ rồi đập dập tỏi.
![]()
+ Cho tỏi vào lọ thủy tinh sạch và đổ mật ong vào cho ngập mặt tỏi, đậy kín nắp, bảo quản ở nơi thoáng mát. Sau khoảng 2 – 3 tuần là dùng được.
![]()
+ Tuy nhiên để trị mụn ngay và luôn thì bạn đập dập tỏi rồi trộn với mật ong với 1 lượng nhỏ, đủ dùng mỗi ngày trước đã.
![]()
- Cách sử dụng:
+ Mỗi tối rửa mặt thật sạch xong, bạn chấm tăm bông vào hỗn hợp rồi thoa trực tiếp lên nốt mụn, vết thâm, sẹo. Nếu da không quá nhạy cảm, bạn có thể thoa đều khắp mặt với 1 lớp mỏng để làm trắng da, chống lão hóa.
+ Để nguyên khoảng 15 – 20 phút thì rửa lại với nước. Thực hiện đến khi mụn biến mất.
+ Ngoài ra, ăn mỗi ngày 1 thìa tỏi ngâm mật ong còn giúp trị bệnh đau dạ dày, giảm mỡ máu, hạ huyết áp, tiêu viêm, phòng chống ung thư, tăng cường sức đề kháng,…
![]()
- Mẹo nhỏ:
Khi rửa mặt, bạn cho 1 chút muối vào sữa rửa mặt, như vậy sẽ giúp làm sạch da ngay từ bước đầu tiên. Khi da đã trở lại như thường, bạn vẫn làm theo cách này để hạn chế mụn xuất hiện và nhớ dùng thêm nước hoa hồng để tăng độ ẩm cho da nữa nhé!
Sưu tầm
Lavender Chưa xác định sản phẩm bán chạy, tiêu điểm.